Affordable Dental Care in Maida Vale
Affordable Dental Care
Affordable dental care makes essential oral health services accessible through cost-effective treatments, sliding scale fees, and supportive programmes.
Experienced Dentists
Experienced dentists offer expert care, utilising years of training and practice to provide high-quality dental treatments and personalised patient solutions
Welcome to Yourdental Wellness
Maida Vale
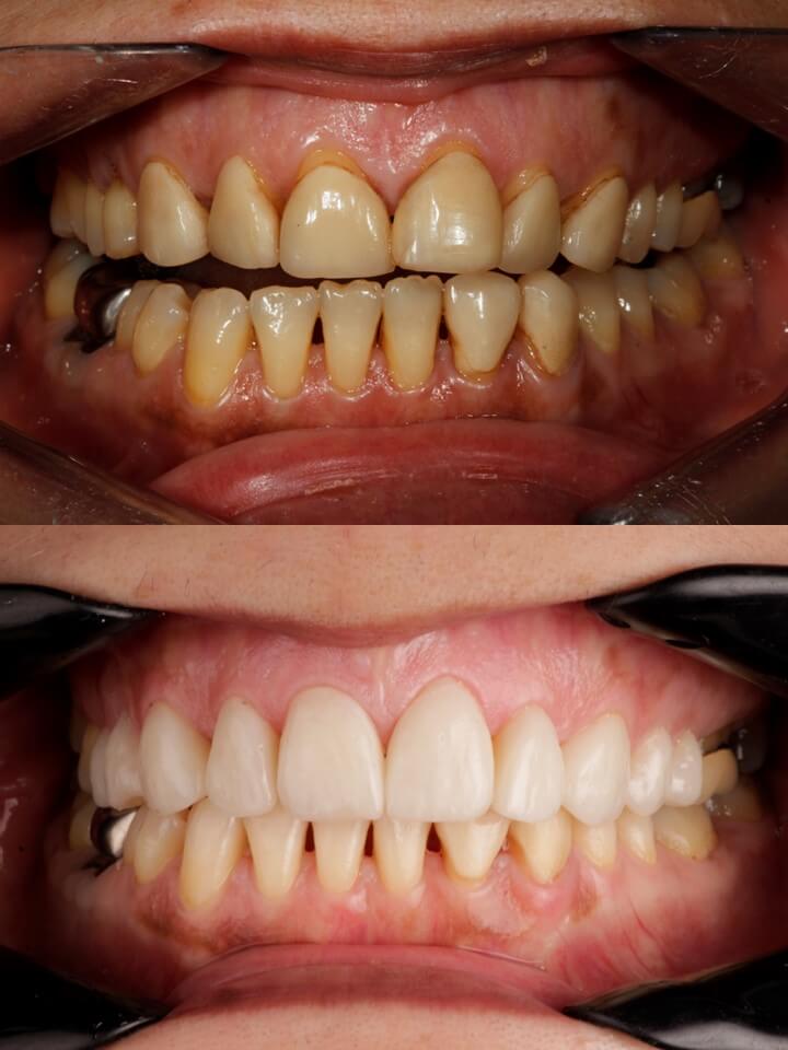
Best Dentist in Maida Vale
We are a state-of-the-art dental clinic in Maida Vale, London offering exceptional dental and holistic care, aiming to provide a positive patient journey for everyone.
Our Treatments
Routine Dental Examination
Airflow® Teeth Polishing
Dental Emergency
Dental Crowns
Children’s Dentistry
Dental Bridges
Dental Hygiene
Dentures
Root Canal Treatment
Dental Sedation
Tooth Extraction
TMJ Pain/Teeth Grinding
Your Dentists and Hygiene/Therapists
Specialist Endodontist (Root Canal)
Consultant Oral Surgeon
Specialist Periodontist
Dentist
Principal Dentist
Dentist
Hygiene Therapist
Hygiene Therapist
Awards
Private Fee Guide
Examinations & Diagnosis
Hygienist & Preventative Care
Children (Under 16s)
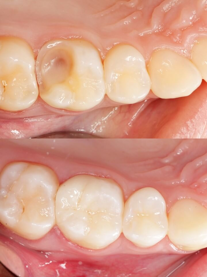
General & Cosmetic Dentistry
Orthodontics and Maida Vale®
Extractions and Oral Surgery
Teeth Grinding/Clenching/Jaw Pain/Sleep Apnoea
Periodontal (With Gum Specialist)
Endodontic (With Root Canal Specialist)
Implants
Sedation
Facial Aesthetics
What Our Patients say…
FAQ's
Why should I see a dentist regularly?
Regular check-ups allow your dentist to see if you have any dental problems and helps ensure good oral health. Leaving problems untreated could mean they are more difficult to treat in the future, so it’s best to deal any issues as soon as possible.
What happens if you don’t go to the dentist regularly?
Research has shown that there is a strong link between poor oral health and various health issues, such as heart disease, diabetes, and respiratory infections. Not having regular check ups could mean that any potential issues with your oral health aren’t identified.
How long does a check up take?
The duration of a check up appointment can vary, but it usually takes 20 – 45 minutes, depending on whether you need x-rays or not, although this will depend on the condition of the teeth and gums and also how long its been since your last check up.
What does a dentist do at a check up?
Yourdental Wellness Maida Vale
12 Clifton Road, London, W9 1SS
